コンタクトレンズの誤った使い方が原因で起こる可能性のある眼のトラブルについて説明します。
これらを予防するためにも、眼の状態を確認する定期検診を受け、コンタクトレンズの使用時間・使用方法を守りましょう。少しでも違和感、異常を感じた時は、すぐにコンタクトレンズの使用を中止し、眼科医に相談することをお勧めします。
視力が低下し、眼の表面の角膜が丸く白濁し、強い充血を伴います。
コンタクトレンズの誤った使い方や長時間使用、眼の表面に出来た傷等が原因で発症します。症状が急速に進行し、失明の可能性もある大変危険な病気です。
すぐにコンタクトレンズの使用を中止し、眼科を緊急受診することをお勧めします。治療は抗生物質で、治療しなければ失明する可能性があります。
 
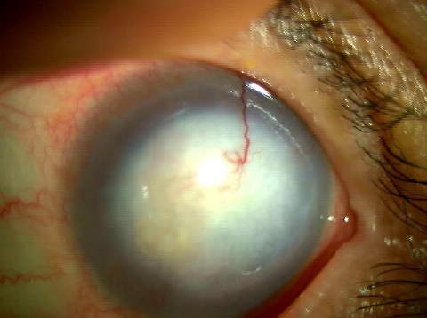
                                視力が低下し、眼の表面の角膜が混濁し、強い充血を伴います。
眼の表面の角膜にアカントアメーバという原生生物が侵入して発症します。
最近、罹患が急増している失明の可能性もある大変危険な病気です。
すぐにコンタクトレンズの使用を中止し、眼科を緊急受診することをお勧めします。
<初期>
 
                                <重症例>
 
                                眼がかゆく、目脂が出て、まぶたにブツブツとしたできものができます。コンタクトレンズを使っている人がなりやすい病気で、できもののせいでコンタクトレンズがズレ、視界が悪くなります。
眼の表面にコンタクトレンズの汚れや花粉などのアレルゲンが付着し、炎症が起こることで発症しますので、アレルギーをお持ちの方はアレルゲンが眼に入らないように注意してください。
また、症状があるのにコンタクトレンズを継続使用していると、眼を傷つけてしまったり、かゆくて眼を掻きレンズを破損してしまったりすることがあります。
 
                                自覚症状があまりなく、眼の表面をよく見ると細い血管が新しく生えてくる病気です。長期間コンタクトレンズを使用している眼の角膜が酸素不足になって発症します。
 
                                目ヤニ、かゆみ、充血、まぶたの腫れ、リンパ節の腫れなどの症状があり、片眼で発症後、両眼になることが多い病気です。
いわゆる「はやり目」と呼ばれるウイルスによる結膜炎です。
なお、人にうつる可能性がとても高いので、眼を触った手で、色々なものに触れないようにし、また、ご家族にうつらないよう、タオルは別にし、お風呂は最後に入りましょう。
 
                                 
						 
					ご使用上の注意
 
        					 
            			1
眼科医の検査・診察を必ず受けましょう
2
眼に異常が無くても、眼科医に指示された定期検査サイクルを守りましょう
3
眼科医に指導された装用時間・装用方法を守りましょう
4
眼科受診時やコンタクトを落とした時のために、眼鏡や予備レンズを携帯しましょう
5
眼に異常があったら、装用を中止し、早めに眼科を受診しましょう
コンタクトレンズは高度管理医療機器です。
必ず眼科医の指示に従い、使用製品の添付文書を熟読し、正しく取扱ってください。
					定期検査を必ず受け、少しでも異常を感じたら直ちに装用を中止し、眼科を受診してください。

ソフトコンタクトレンズはバンテージ効果と言って、傷ができてもコンタクトレンズが蓋をしてしまい痛みを感じにくくなり、早期受診が出来ずに重症化することがあります。コンタクトレンズを外した時に痛みが続くような場合は、早めに眼科を受診しましょう。
このような行為は重篤な眼障害や失明につながる行為です。絶対にしないでください
コンタクトレンズ関連疾患について
お子様の大切な眼を守るために

学業やスポーツのために、成長期になったお子様はコンタクトレンズを選ぶ事が増えてきます。目が悪くなったり、トラブルになったりしないか…保護者の方はご心配に思うかもしれません。
							コンタクトレンズが原因で近視が進むことはありません。しかし、成長期は視力がまだ安定しません。定期検査を欠かさず、きちんと眼にあったレンズを使用するようにご家庭でもご指導ください。
						コンタクトレンズは正しい装用時間と装用方法を守れば安全で快適にお使い頂けます。

特にご注意頂きたい
お子様の危険使用チェックリスト